How a dental office manages negative reviews is a key part of their online marketing strategy. Unfortunately, our research has revealed that many offices are doing it wrong…really wrong. In this week’s tip (Part I of III), MGE’s COO Jeff Blumberg delves into the subject, and lays out a concise 8-point plan on how to manage and respond to bad reviews. A MUST when attempting to improve practice PR and online image! We hope you enjoy! LINK: MGE”s Internet Marketing Seminar: http://www.mgeinternetmarketing.com/
source
Day: February 16, 2020

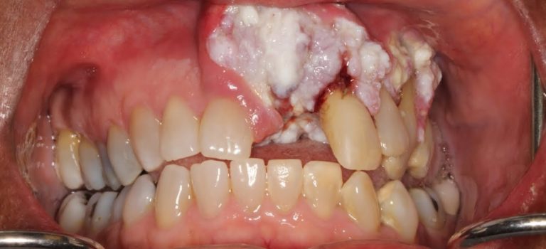
Dental Practice Financing For Dentists – Call BRT: 904-551-6090: Woman's Mouth Cancer Goes Ignored by Dentists for Years
Mouth cancer is an extremely serious condition that can sometimes be deadly. We were so happy to help save this woman’s life! A few years back, our patient …
source